Advertisement

Anatomy Of Chest X Ray / 337.6 - normal lateral chest x-ray FISSURES 2 Minor (A) an ... - A collection of anatomy notes covering the key anatomy concepts that medical students need to learn.

Anatomy Of Chest X Ray / 337.6 - normal lateral chest x-ray FISSURES 2 Minor (A) an ... - A collection of anatomy notes covering the key anatomy concepts that medical students need to learn.. Published 2011 by blackwell publishing ltd. Common symptoms that can be diagnosed using chest. They contain air and so are of lower density (blacker) than the surrounding soft tissues. Xray is a type of radiography and most widely used investigation. Learn vocabulary terms and more with flashcards games a.

You have completed this module. Labeled chest radiographs teaching radiologic anatomy with a level of detail appropriate for medical students. Chest radiographs are the most common film taken in medicine. Evaluation of a chest radiograph may appear to be simple, but is in fact a complex task requiring careful observation, sound understanding of chest anatomy, and knowledge of the principles of physiology and pathology. Air spaces normally seen in.

Pin by Megen Ellison on Radiography | Radiology student ...
Pin by Megen Ellison on Radiography | Radiology student ... from i.pinimg.com
This imaging method can also check how a patient is responding to specific treatments. Therefore, knowing the basics and pathologies in the ed setting is very important. In this article we will focus on: Labeled chest radiographs teaching radiologic anatomy with a level of detail appropriate for medical students. Many clinical conditions can be evaluated by this simple radiology test. Clinicalchest xray anatomy labeled clinical (i.redd.it). You have completed this module. Xray is a type of radiography and most widely used investigation.

Common symptoms that can be diagnosed using chest.

Recognizing normal chest anatomy and a technically adequate chest radiograph. Abcde aproach the anatomy of the heart can appear artificially larger due to this image orientation. Submitted 2 years ago by gmdmd. You have completed this module. The interpretation of a chest film requires the understanding of basic principles. Learn vocabulary terms and more with flashcards games a. There are also important structures that are obscured or become visible. Common symptoms that can be diagnosed using chest. Conclusion of living anatomy of the chest congratulations! Clinicalchest xray anatomy labeled clinical (i.redd.it). Look for lung and pleural pathology. Evaluation of a chest radiograph may appear to be simple, but is in fact a complex task requiring careful observation, sound understanding of chest anatomy, and knowledge of the principles of physiology and pathology. Xray is a type of radiography and most widely used investigation.

Look for lung and pleural pathology. Clinicalchest xray anatomy labeled clinical (i.redd.it). They contain air and so are of lower density (blacker) than the surrounding soft tissues. In fact every radiologst should be an expert in chest film reading. The interpretation of a chest film requires the understanding of basic principles.

labeled chest x ray - Google Search (With images ...
labeled chest x ray - Google Search (With images ... from i.pinimg.com
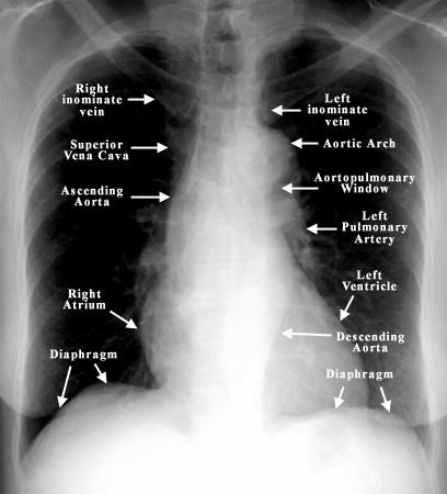
Is there any inhaled foreign body? It is almost always the first imaging study ordered to evaluate for pathologies of the thorax, although further diagnostic imaging, laboratory tests. Common symptoms that can be diagnosed using chest. Learn vocabulary terms and more with flashcards games a. Living anatomy of the chest for 1st year medical students original version compiled by dr. In fact every radiologst should be an expert in chest film reading. Legit, i can make out the trachea, aorta, outline of the heart, and the diaphragm. Chest radiographs are the most common film taken in medicine.

This imaging method can also check how a patient is responding to specific treatments.

In this article we will focus on: They contain air and so are of lower density (blacker) than the surrounding soft tissues. Abcde aproach the anatomy of the heart can appear artificially larger due to this image orientation. Air spaces normally seen in. Each of these anatomical structures should be viewed using a systematic approach. Many clinical conditions can be evaluated by this simple radiology test. This imaging method can also check how a patient is responding to specific treatments. A collection of anatomy notes covering the key anatomy concepts that medical students need to learn. You have completed this module. In fact every radiologst should be an expert in chest film reading. It first appears too complicated to read the chest xrays because we barely know what. Submitted 2 years ago by gmdmd. It is almost always the first imaging study ordered to evaluate for pathologies of the thorax, although further diagnostic imaging, laboratory tests.

There are also important structures that are obscured or become visible. The interpretation of a chest film requires the understanding of basic principles. Look for lung and pleural pathology. Legit, i can make out the trachea, aorta, outline of the heart, and the diaphragm. In fact every radiologst should be an expert in chest film reading.

👨🏽‍💻Here's a recap of three posts on Chest X-Ray anatomy ...
👨🏽‍💻Here's a recap of three posts on Chest X-Ray anatomy ... from i.pinimg.com
Each of these anatomical structures should be viewed using a systematic approach. They contain air and so are of lower density (blacker) than the surrounding soft tissues. Conclusion of living anatomy of the chest congratulations! Chest radiographs are the most common film taken in medicine. Submitted 2 years ago by gmdmd. Common symptoms that can be diagnosed using chest. Recognizing normal chest anatomy and a technically adequate chest radiograph. Evaluation of a chest radiograph may appear to be simple, but is in fact a complex task requiring careful observation, sound understanding of chest anatomy, and knowledge of the principles of physiology and pathology.

Therefore, knowing the basics and pathologies in the ed setting is very important.

Submitted 2 years ago by gmdmd. This imaging method can also check how a patient is responding to specific treatments. In fact some important structures such as the phrenic nerve are not visible at all. There are also important structures that are obscured or become visible. Both lungs should be well expanded and similar in volume. Legit, i can make out the trachea, aorta, outline of the heart, and the diaphragm. Published 2011 by blackwell publishing ltd. You have completed this module. Therefore, knowing the basics and pathologies in the ed setting is very important. It is almost always the first imaging study ordered to evaluate for pathologies of the thorax, although further diagnostic imaging, laboratory tests. Learn vocabulary terms and more with flashcards games a. Recognizing normal chest anatomy and a technically adequate chest radiograph. Conclusion of living anatomy of the chest congratulations!

Common symptoms that can be diagnosed using chest anatomy of chest. There are also important structures that are obscured or become visible.

Posting Komentar

0 Komentar